감기와 혼동하기 쉬워서 무서워요. 급성 폐렴 총정리
최근 유명 연예인의 급성 폐렴 사망으로 인해 이 병이 크게 이슈가 되고 있습니다. 감기처럼 쉽게 생각하다가 사망에 이를 수 있는 무서운 급성 폐렴에 대해 정의, 증상, 원인, 사망률, 치료 방법 및 치료 기간, 주의 사항, 자주 묻는 질문 등을 상세히 알려드리겠습니다.
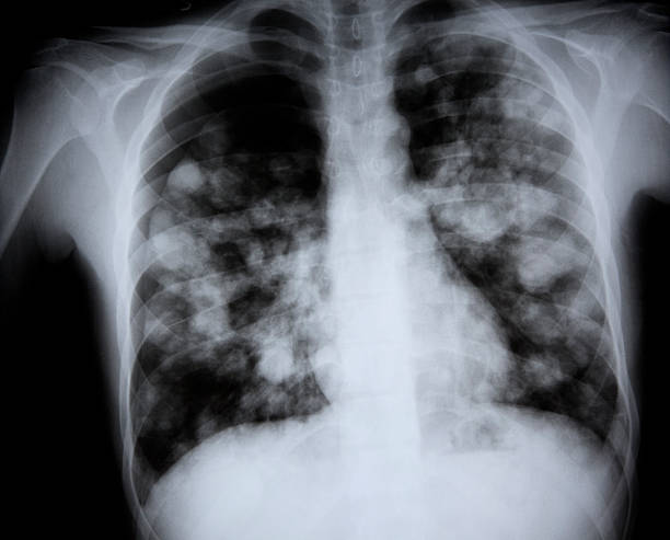
급성 폐렴의 정의



급성 폐렴은 폐의 염증으로 인해 발생하는 질병으로, 주로 세균, 바이러스, 곰팡이 등의 감염에 의해 유발됩니다. 이 질병은 폐의 공기 주머니인 폐포에 염증이 생겨 가스 교환이 원활하지 않게 됩니다. 급성 폐렴은 특히 면역력이 약한 노인이나 어린이에게 치명적일 수 있습니다.
급성 폐렴의 증상



급성 폐렴의 증상은 다양하지만, 일반적으로 다음과 같은 증상이 나타납니다:
- 기침: 마른 기침에서 시작하여 점차 가래가 섞인 기침으로 발전할 수 있습니다.
- 발열: 38도 이상의 고열이 발생할 수 있습니다.
- 호흡 곤란: 숨쉬기가 힘들어지는 증상이 나타날 수 있습니다.
- 가슴 통증: 기침이나 호흡 시 가슴에 통증이 느껴질 수 있습니다.
- 피로감: 전신적인 피로감과 무기력함이 동반될 수 있습니다.
이러한 증상이 나타날 경우, 즉시 병원을 방문하여 진단을 받는 것이 중요합니다.
급성 폐렴의 원인



급성 폐렴의 원인은 다양합니다. 가장 흔한 원인은 세균 감염이며, 특히 폐렴구균이 주요 원인균으로 알려져 있습니다. 그 외에도 인플루엔자 바이러스, 코로나바이러스, 아데노바이러스 등 다양한 바이러스가 급성 폐렴을 유발할 수 있습니다. 또한, 흡연, 음주, 만성 질환 등은 폐렴의 위험을 증가시킬 수 있습니다.
급성 폐렴의 사망률



급성 폐렴의 사망률은 환자의 나이, 건강 상태, 치료 시기 등에 따라 다릅니다. 일반적으로 노인이나 면역력이 약한 환자에서 사망률이 높습니다. 통계에 따르면, 65세 이상의 노인에서 급성 폐렴으로 인한 사망률은 10% 이상으로 보고되고 있습니다. 이는 매우 높은 수치로, 예방이 중요합니다.
급성 폐렴의 치료 방법 및 치료 기간



급성 폐렴의 치료는 주로 항생제를 사용하여 감염을 치료하는 것이 기본입니다. 증상이 심하지 않은 경우에는 외래에서 치료가 가능하지만, 호흡 곤란이나 고열이 지속되는 경우에는 입원 치료가 필요할 수 있습니다. 치료 기간은 보통 1주일에서 2주일 정도 소요되며, 환자의 상태에 따라 달라질 수 있습니다.
급성 폐렴 주의사항



급성 폐렴 환자는 다음과 같은 주의사항을 지켜야 합니다:
- 충분한 수분 섭취: 탈수를 방지하기 위해 물을 충분히 마셔야 합니다.
- 휴식: 충분한 휴식을 취하여 면역력을 높여야 합니다.
- 의사의 지시를 따르기: 처방된 약물을 정확히 복용하고, 증상이 악화될 경우 즉시 병원을 방문해야 합니다.
자주 묻는 질문



Q. 급성 폐렴은 어떻게 예방할 수 있나요?
A. 예방접종, 손 씻기, 건강한 생활습관을 유지하는 것이 중요합니다.
Q. 급성 폐렴의 치료는 얼마나 걸리나요?
A. 일반적으로 1주일에서 2주일 정도 소요되지만, 개인의 상태에 따라 다를 수 있습니다.
Q. 급성 폐렴의 증상이 나타나면 어떻게 해야 하나요?
A. 즉시 병원을 방문하여 진단을 받고, 필요한 치료를 받아야 합니다.
Q. 급성 폐렴은 전염되나요?
A. 급성 폐렴 자체는 전염되지 않지만, 원인균이 전염될 수 있으므로 주의가 필요합니다.
급성 폐렴은 심각한 질병으로, 조기 발견과 치료가 중요합니다. 위의 정보를 참고하여 건강을 지키시기 바랍니다.
'정보' 카테고리의 다른 글
| 온천하러 멀리가지 않아요. 율암온천의 모든 것 (0) | 2025.02.06 |
|---|---|
| 2025년 손주돌봄수당 완벽 가이드: 필수정보 모음 (0) | 2025.02.05 |
| 근로계약서 작성 가이드: 필수 정보와 작성 방법 (0) | 2025.02.03 |
| 딥시크: 중국 AI 혁명의 중심에 서다! (0) | 2025.02.02 |
| 발렌타인데이의 모든 것: 뜻, 유래, 선물 추천, Q&A (0) | 2025.02.01 |

댓글